Produkter
Vårt arbete vid Lundbergs Dental
Vårt arbete vid Lundbergs Dental
Lundbergs Dental är ett fullservicelabb som ligger i Umeå. Vi har ett nära samarbete med
kunden, hög kvalitet och snabba leveranser.
Det innebär att vi tillverkar alla typer av kronor, broar och proteser, ex.
E-max kronor och broar, Zirkonium kronor och broar, CoCr kronor och broar, Porslinsimplantat, kronor och broar i alla material (ej E-max)
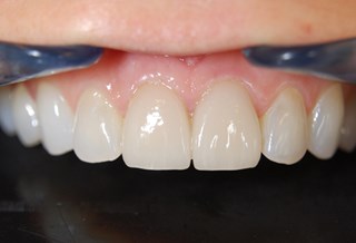
E-max kronor & broar
![]() |
E-max kronor & broar
E-max är utvecklat för en enkel och varierad framställning av metallfria ersättningar. E-max håller en hög styrka, är mycket vävnadsvänligt och håller en hög estetik. Materialet kan används både vid pressteknik och CAD/CAM teknik.
Möjligheterna hos E-max är väldigt stora och man kan använda systemet på en mängd olika sätt, allt från att göra tunna fasader till mindre broar anteriort.
Oavsett vilket material du väljer att använda blir resultatet väldigt narturtroget och personligt anpassat för patienten.
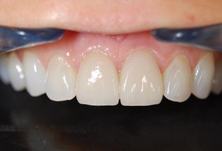
Zirkonium kronor & broar
![]() |
Zirkonium kronor & broar
Zirkoniumoxid är ett material som räknas in i gruppen helkeramer. Det är i dagsläget det hårdaste materialet som används till dentala ersättningar.
Zirkoniumoxid kan användas till singel ersättningar, små och stora broersättningar, implantatkonstruktioner och fullkronor. Som helkeram är materialet mycket vävnadsvänligt.
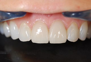
CoCr kronor & broar
![]() |
CoCr kronor & broar
CoCr är en legering som är mycket ”seg” och stark när det gäller att utforma konstruktioner där bettet är lågt, det kan gälla en sammanfogning som inte har möjlighet att utformas i den tjocklek som behövs när det gäller keramiska material. CoCr används till enstaka led mindre och större broar. Implantatkonstruktioner och fullkronor.
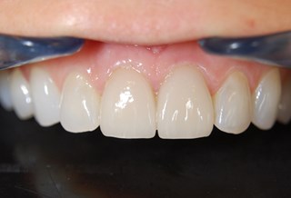
Tandimplantat
![]() |
Tandimplantat
På Lundbergs Dental, dentallab i Västerbotten, har vi välutbildade tandtekniker som dagligen arbetar med de på den svenska marknaden vanligaste tandimplantatsystemen. Implantatkonstruktioner användas som, singelimplantat, delimplantat och helkäkskonstruktioner. Metall eller zirkonium utgör skelettet i konstruktionen, den kläs sedan i antingen akryl eller keram. På materialsidan finns en mängd alternativ från gjutna till frästa konstruktioner i titan, CoCr och zirkonium.
CoCr kronor & broar
![]() |
CoCr kronor & broar
CoCr är en legering som är mycket ”seg” och stark när det gäller att utforma konstruktioner där bettet är lågt, det kan gälla en sammanfogning som inte har möjlighet att utformas i den tjocklek som behövs när det gäller keramiska material. CoCr används till enstaka led mindre och större broar. Implantatkonstruktioner och fullkronor.
Bettskenor
![]() |
Bettskenor
Bettskenor är, av tandtekniker, specialtillverkade plastskenor som används för att påverka underkäkens rörelsemönster på ett sätt som medför en förbättrad funktion i tuggsystemet och bidra till att spända käkmuskler lättare kan slappna av. Det avlastar sekundärt käklederna, käk- och nackmuskulatur.
Bettskenor kan också användas för att undvika nedslitningen av tänderna vid tandgnissling.
Det finns flera varianter av bettskenor som används vid olika tillstånd. De som används vid störningar av funktionen i käksystemet och tuggsystemet indelas i två grupper:
Bettskenor som täcker samtliga tänder i bettet (vanligen heltäckande stabiliserings-skenor där det i huvudsak finns två typer med olika
utformning)
Partiella bettskenor som täcker en del av bettet varav det finns flera olika typer som molarstödskena, shoreskena och olika avslappningsskenor.
Tandskydd för idrottsutövare
![]() |
Tandskydd för idrottsutövare
På senare tid har det blivit större efterfrågan på individuellt anpassade tandskydd, istället för de så kallade boil and bite tandskydd, som inte ger tillräckligt skydd och som inte har den optimala passform.
Tandskydd är tyvärr långt ifrån att vara standardskydd i dagens sportsvärld.
Tandläkarna, Idrottsförbundens och försäkringsbolagens rekommendationer omkring användning av tandskydd är helt klar:
Tandskydd är nödvändiga och alla aktiva idrottsutövare bör hålla sig borta från gör-det-själv-produkter och istället få ett ett anpassat tandskydd.
Det är en stor betydande skillnad på ett anpassat tandskydd som är gjort av en proffessionel tandtekniker och en gör-det-själv-skena, som kan köpas i många sportaffärer.





