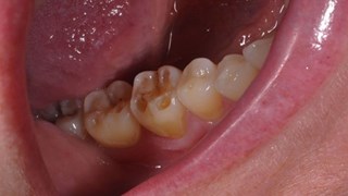
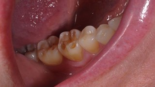
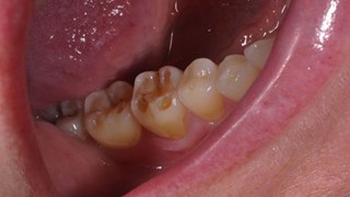
Hål i tänderna – karies
Hål i tänderna – karies
Karies är en sjukdom som orsakar hål i tänderna. Du kan minska risken för karies genom att borsta tänderna varje dag och undvika att småäta mellan måltiderna.
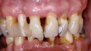
Tandsten
Tandsten
Tandsten bildas när bakterier på tänderna blandas med saliv och det blir en hård yta på tanden. Tandsten sitter ofta mellan tänderna där det kan vara svårt att själv göra rent.
Muntorrhet
Muntorrhet

Muntorrhet beror på att du har för lite saliv i munnen eller att salivens sammansättning förändrats.
Käksmärta
Käksmärta

Käkmuskelsmärta är en underdiagnos till käkfunktionsstörning och det vanligaste smärttillståndet i ansiktsregionen.
Tandfraktur
Tandfrakturer

Frakturer inom tandvården innefattar både fyllningsfrakturer och tandfrakturer. Lagning av frakturer är den vanligaste behandlingen inom tandvården.
Tandslitage
Tandslitage

Dental erosion har sedan länge definierats som förlust av tandsubstans genom en kemisk påverkan som inte involverar bakterier.
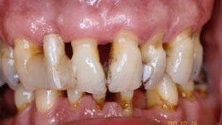
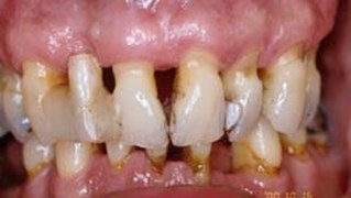
Tandlossning
Tandlossning

Tandlossning är en infektion i tandens fäste i käken. Den kan leda till att tänderna långsamt blir lösa och till sist lossnar. Du kan undvika tandlossning genom att hålla tänderna rena varje dag.
Infektion i tanden tandvärk
Infektion i tanden

Att det gör ont kan bero på att nerven i en tand har blivit inflammerad eller infekterad.