Behandlingar
Nedan finner du information om våra olika behandlingar. Varmt välkommen att boka din tid hos oss!
Nedan finner du information om våra olika behandlingar. Varmt välkommen att boka din tid hos oss!
Från och med det år barnet fyller 3 år kan du som vårdnadshavare lista ditt barn hos oss. Kontakta oss för mer information.
Vi erbjuder allmäntandvård för både vuxna och barn och utför regelbundna undersökningar på våra patienter.
För våra listade patienter försöker vi ordna en akuttid så fort som möjligt. Vid akuta besvär under helger eller semestertider hänvisar vi dig till privattandläkarjouren.
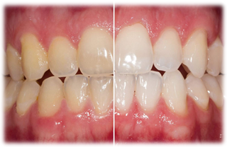
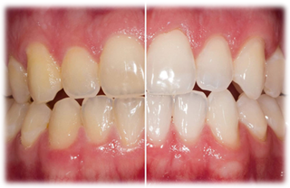
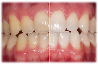
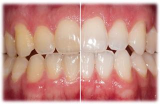
Vi kan erbjuda våra patienter Opalescence blekgel som är ett proffessionellt och skonsamt tandblekningsmedel. Vi tar ett digitalt avtryck av dina tänder och individuellt anpassade blekskenor tillverkas som du enligt våra instruktioner använder hemma.

För att framställa t.ex. en krona, bro eller bettskena använder vi digital avtrycksscanning. Scannern fungerar som en kamera som tar en mängd bilder och skapar en 3D-modell av din mun. Modellen skickas sedan digitalt till tandtekniskt lab för tillverkning.
