Tandlossning
En frisk tand har en tandköttsficka som är 1 till 4 millimeter djup. Med parodontit ökar fickdjupet. I slutskedet kan det vara över 10 millimeter. Förlusten av fäste kan då nå rotspetsen på tanden, vilket gör den mycket rörlig. Fickorna är oftast också väldigt infekterade.

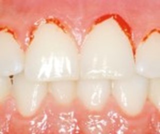
Ett inflammerat tandkött kan se helt friskt ut.

Petar man på ett inflammerat tandkött så blöder det.
Inflammerat tandkött
En inflammation i tandköttet kan vara början till parodontit. Och det är placket som bildas i munnen som är orsaken till tandköttsinflammation (gingivit). Inflammation utan parodontit är enkel att behandla. Med förbättrad munhygien läker det oftast ut på en eller ett par veckor. Dock kan inflammationen komma tillbaka snabbt om munhygienen försämras. Noggrann rengöring med tandborste, tandtråd eller liknande är det enklaste knepet för att undvika inflammerat tandkött.
Tandsten
Risken för tandsten varierar från människa till människa och från tand till tand. Det kan också variera genom livet. Sämre munhygien leder ofta till att tandsten lättare bildas. Tyvärr får vissa människor mycket tandsten trots en bra munhygien. En förutsättning för all utläkning av tandlossningssjukdomar är att tandstenen avlägsnas. Eftersom du inte kan ta bort tandsten själv är det viktigt att regelbundet besöka en tandläkare eller tandhygienist som kan göra det åt dig.
Behandlingen är nästan smärtfri. Har du däremot djupa tandköttsfickor som är inflammerade kan du behöva lokalbedövning. Denna inflammation läker oftast ut inom några veckor, förutsatt att tandstenen tas bort och att du håller rent i munnen. Tandsten och inflammation kan snabbt komma tillbaka om munhygienen försämras.
Fördjupade fickor
Har dina tandköttsfickor blivit djupare kan tandstenen tränga ner och börja lösa upp benet. Tandsten och plack kan samlas nere i fickan där du inte kommer åt att rengöra. Sakta förstörs tandens fäste.
Behandling måste nu utföras av tandläkare eller tandhygienist. Den går ut på att tandstenen avlägsnas med specialinstrument eller ultraljud. Avgörande för ett lyckat resultat är att patientens munhygien fortsättningsvis är mycket bra.
Djupet på fickorna minskar vanligtvis med 2 till 3 millimeter de första månaderna efter en lyckad behandling. Därefter minskar det ofta ett par millimeter till. Målet är ett fickdjup på mindre än 4 millimeter. Vissa ställen kan dock ha större fickdjup men ändå vara i balans.
Den vanligaste orsaken till att fickdjupet inte minskar eller att sjukdomen kommer tillbaka är att munhygienen blivit mindre effektiv. Oftast beror detta på att en färdigbehandlad patient lätt faller tillbaka i gamla mönster. För att undvika detta är det viktigt med återkommande kontroller hos tandläkaren eller tandhygienisten. Tyvärr finns det en liten del behandlade parodontiter som inte läker ut, utan bara bromsas upp, trots lyckad behandling.
Tandkött
Ett sjukt tandkött är svullet och har större volym, jämfört med ett friskt som är i biologisk balans. När tandköttet läker efter en allvarlig parodontit kan det dra sig tillbaka något. Detta innebär sällan några problem funktionellt, men det kan medföra blottade tandhalsar och större mellanrum mellan tänder och tandkött.
En lätt inflammation i tandköttet läker vanligtvis ut på en dryg vecka. Förutsättningen är att eventuell tandsten tagits bort och att munnen hålls ren, enligt de instruktioner tandläkaren eller tandhygienisten gett.
Allvarlig tandlossning
Ofta får man inga symptom på parodontit, förutom att tanden känns lös, men risken för infektion, svullnad och varbildning är stor. För att bromsa, och förhoppningsvis stoppa, sjukdomen behandlas man på liknande sätt som vid en mindre allvarlig parodontit. Ibland utförs även mindre operationer. Ytterligare ett alternativ är att avlägsna tanden. Många tandläkare har god erfarenhet av att behandla parodontit. En del remitterar dock patienterna till specialister, så kallade parodontologer.

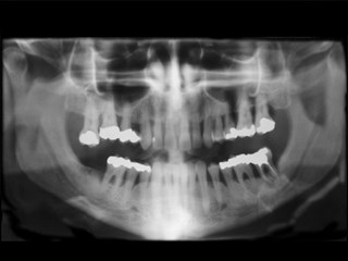
Översiktsröntgen som visar att benet runt tänderna har dragit sig tillbaka. Patienten har redan blivit av med en tand och fler kan det bli om inte behandling sätts in. Det vita på bilden är lagningar.
Operation
Ibland är det svårt att få bukt med de fördjupade tandköttsfickorna. Det kan också vara problematiskt att komma åt tandsten nere på tandroten. Då kan operation vara ett alternativ. Syftet är att rengöra och reducera fickdjupet. Det är också ett sätt att göra det möjligt för patienten att själv hålla rent effektivt och skonsamt.
Tandläkaren gör då ett litet snitt för att kunna fälla upp en lucka in till det sjuka området. Detta gör det enklare att ta bort tandsten och sjuk vävnad runt tanden. När området är rengjort sys tandköttet tillbaka. Efter en till två veckor görs vanligtvis en kontroll. Operationen är smärtfri och sker under lokalbedövning. Behandlingen tar 30 till 60 minuter. Ibland får patienten lite värk efter operationen. Den lindras oftast effektivt med vanliga värktabletter.
Nybildning av tandfäste
Idag finns också metoder för att stimulera nybildning av fäste runt tanden. Vissa positiva resultat har kunnat påvisas, främst med olika typer av benstimulerande medel. Dessa läggs vanligtvis in i samband med operationen.