Undersökning
Det är inte så länge sedan man gick till tandläkaren bara när man fick tandvärk. Idag handlar en stor del av tandvården om förebyggande åtgärder, vilket har gjort våra munnar friskare.
Munnen kan givetvis reagera direkt på en skada, men de flesta sjukdomar kommer smygande. Symptom, till exempel smärta, kommer ofta först i slutskedet och då är det svårare och oftast dyrare att behandla skadan.
Möjligheten för att få ha friska tänder livet ut ökar väsentligt om du regelbundet går till tandläkaren eller tandhygienisten. Hur ofta regelbundet är varierar dock från person till person. Vanligtvis räcker det med ett besök per år, men ibland kan det krävas fler.
Friska tänder, frisk kropp
Munnen är en del av kroppen. Utan hela tänder kan man inte säga att man är helt frisk. Bakterier från trasiga tänder kan orsaka bekymmer också i andra delar av kroppen, och ses numera som möjliga riskfaktorer till exempel vid hjärt- och kärlsjukdomar.
De flesta sjukdomar sätter ner kroppens motståndskraft mot mikroorganismer, också mot munbakterierna. Är man sjuk är det därför extra viktigt att hålla en god munhygien.
Hur går en undersökning till?
En undersökning innehåller flera moment. Här följer en beskrivning av dem.
Hälsodeklaration fylls i
Det är vanligt att du först får fylla i en hälsodeklaration. Denna information är viktig. Bland annat får tandläkaren reda på om du använder något läkemedel. Vissa mediciner orsakar nämligen muntorrhet som kan innebära hög kariesrisk. Andra, till exempel blodförtunnande, kan innebära att du blöder längre efter ett ingrepp.
Övrig information som är önskvärd är eventuell överkänslighet och sjukdomar. Olika typer av allergier kan påverka val av terapi. Och sjukdomar, som till exempel diabetes, kan försämra läkning. Samma inverkan kan även stress och nikotinbruk ha. Tidigare behandlingar och upplevelser är också värdefull information.
Tandkött och ben undersöks
Tandläkaren tittar noga på tandkött och ben runt tänderna för att kunna upptäcka eventuella tecken på tandlossning. Det är nämligen en vanlig sjukdom som ofta är mycket långsam och relativt symptomfri i början. Tandläkaren kan dock tidigt se tecken på sjukdom så att den i god tid kan förebyggas och behandlas.
Mätning av tandköttsfickor
En noggrann undersökning är grunden till all förebyggande vård. Därför mäter och journalför tandläkaren alltid fickorna runt tänderna. Tandköttet och slemhinnorna i munnen är också viktigt att undersöka.

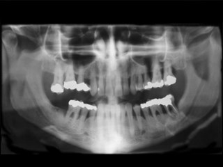
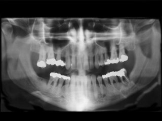
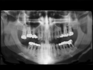
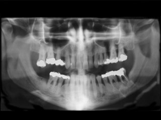
Röntgenbilderna kan exempelvis avslöja karies, tandsten, tandlossning, infektioner, sjukliga förändringar, felställda tänder. Här avslöjar röntgenbilden allvarlig tandlossning.
Röntgen
Röntgen hjälper tandläkaren att se mer. Röntgenbilderna kan bland annat avslöja karies, tandsten, tandlossning, infektioner, sjukliga förändringar, felställda tänder som annars inte upptäckts i tid.
Muskler och käkleder kontrolleras
Muskler och käkleder kontrolleras också, speciellt om patienten har en tendens att gnissla eller pressa tänder - något som är mycket vanligt.
Cancerrisk?
Att munnen drabbas av cancer är mycket ovanligt, men tandläkaren tittar alltid efter eventuella tecken även här.
Ditt allmäntillstånd syns i munnen
Slemhinnorna i munnen speglar ofta allmäntillståndet i hela kroppen. Ibland remitteras patienten till en husläkare eller specialist om tandläkaren upptäcker något misstänkt.