Våra behandlingar
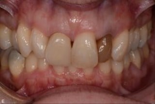
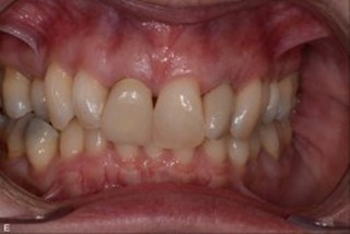
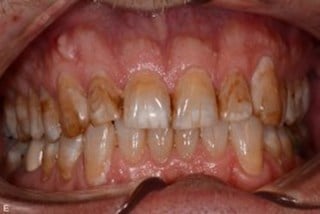
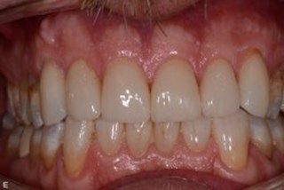
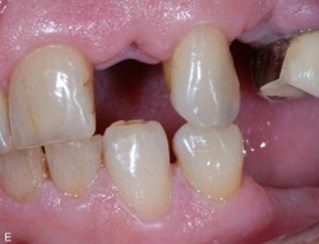
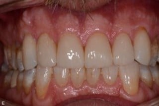
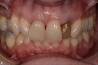
- Kronor och broar
- Bettskenor
- Tandskydd (som användas vid sportsammanhang)
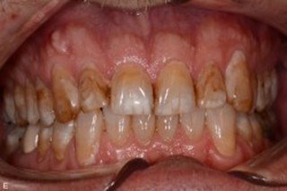
- Tandblekning (vi utför skonsam blekning av dina tänder)
- Rotbehandling
- Rotspetsoperationer
- Problem med visdomständer
- Kosmetisk och estetisk tandvård
- Tandreglering Invisalign
- Implantat
- Förebyggande tandvård (vi har tandhygienist på mottagningen)







