Estetisk tandvård

Tandblekning

Funderar du på att bleka dina tänder? Vid en undersökning hos oss bedömer tandläkaren eller tandhygienisten dina förutsättningar för att kunna bleka tänderna. Eventuella hål, tandsten och missfärgningar åtgärdas och därefter tas avtryck av tänderna så att tandblekningsskenorna kan tillverkas. Därefter bokas en ny tid då de nytillverkade skenorna samt blekgelen överlämnas till dig. Väl hemma droppar du i gelen i skenorna och genomför blekningen enligt medföljande instruktion.

Tandsmycke

Låt ditt leende glittra – med ett tandsmycke!
Vill du glänsa lite extra i vardagen? Vi erbjuder utsmyckning av tänder med tandsmycken – en snabb och enkel behandling som ger ditt leende en personlig touch. Välj smycket vi har hos oss eller ta med ditt eget.
Boka tid idag och låt ditt leende glänsa!

Tandreglering med Invisalign

Hos oss kan du få hjälp att justera dina tänder utan någon synlig tandställning. Justeringen planeras digitalt och redan innan behandlingen påbörjas kan du få se slutresultatet direkt på datorn. Tandregleringen utförs med transparanta avtagbara skenor som används dygnet runt under 3 månader och tas endast ut vid måltid och vid tandborstning. När behandlingen är klar kan en skena användas vid behov nattetid för att behålla tänderna i det nya läget. 

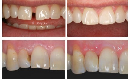
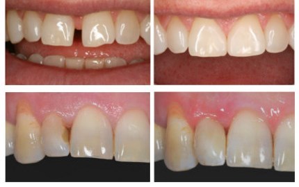
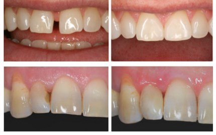
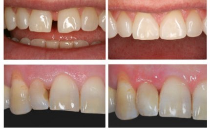
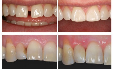
ProxyPal

Har du skadat dina framtänder, har en lagning som är missfärgad eller har du en glugg som du inte är tillfreds med kan vi hjälpa dig. Med hjälp av tandläkare och uppfinnare Mats Normans ProxyPal-matriser kan vi skapa en mycket fin och naturlig form på alla framtandslagningar utan tandreglering.