Estetisk tandvård

Vi har bred erfarenhet inom estetisk tandvård. Du är välkommen att diskutera individuella önskemål för just ditt leende. De olika metoder som kan användas är till exempel tandreglering, lagningar, porslinsfasader och porslinskronor.

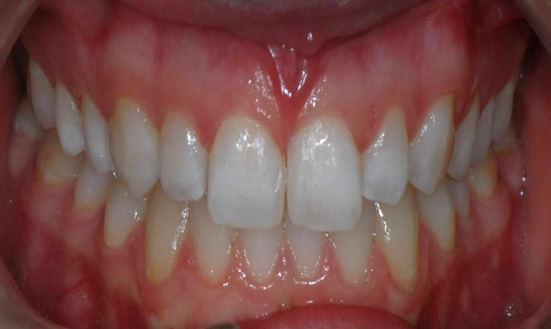
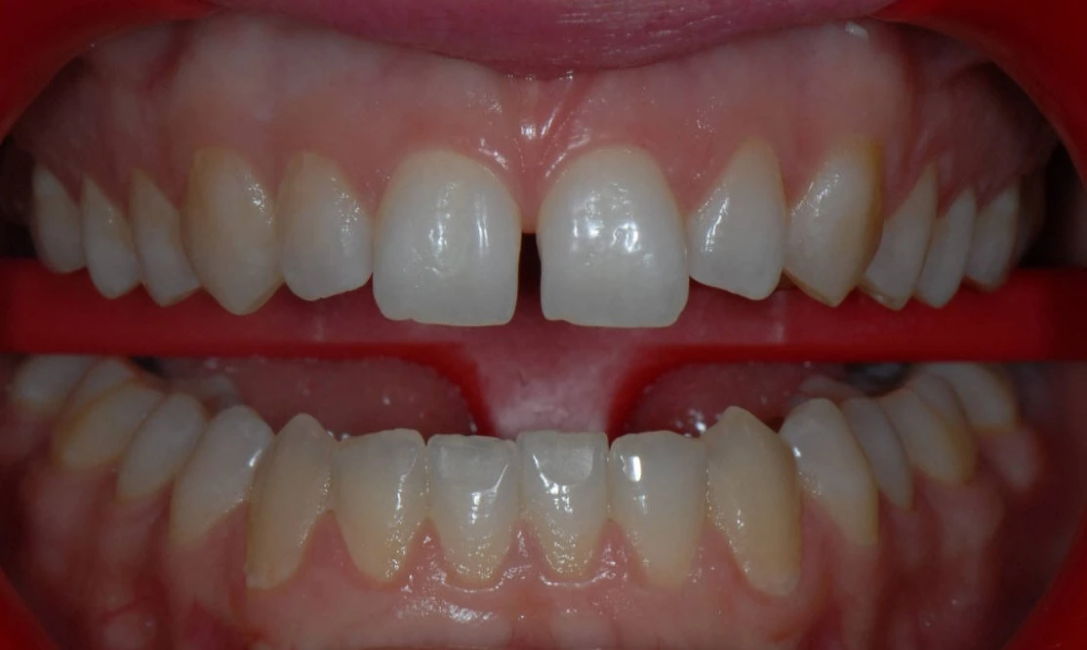
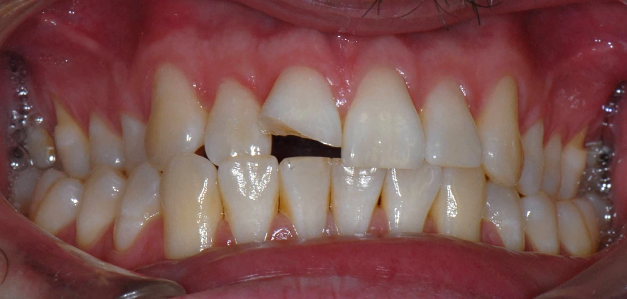
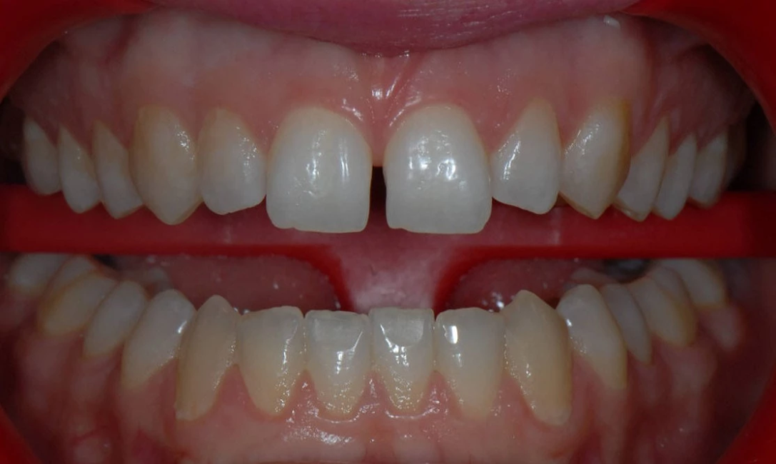
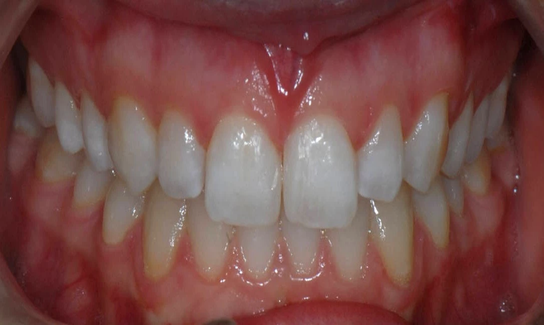
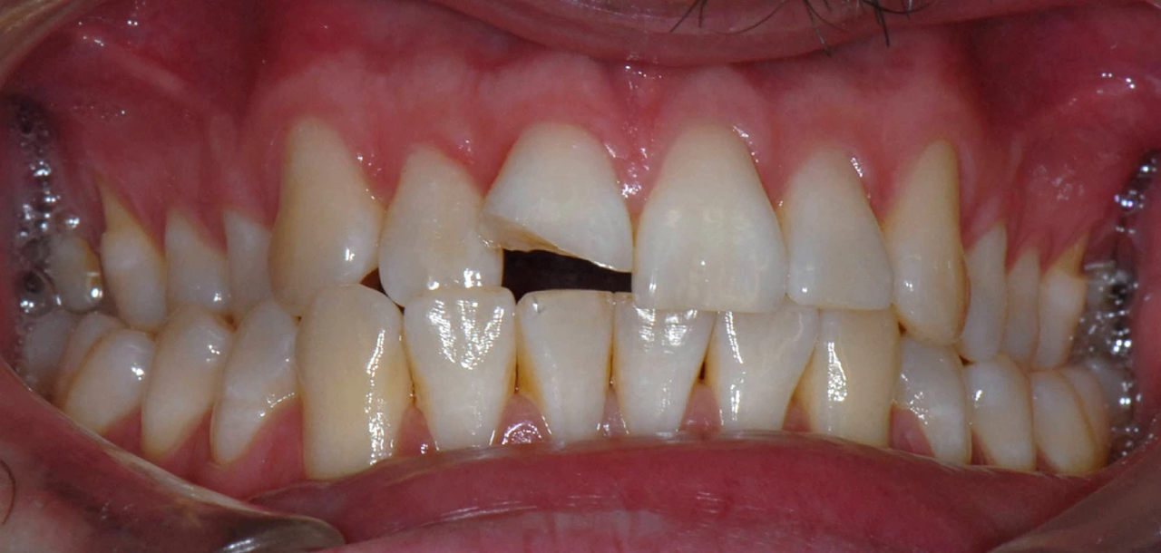
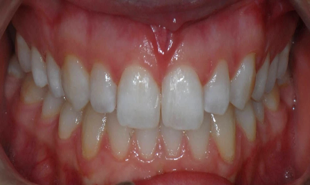
Exempel på estetiska behandlingar utförd av tandläkare Carl Fredrik Domini:

Före

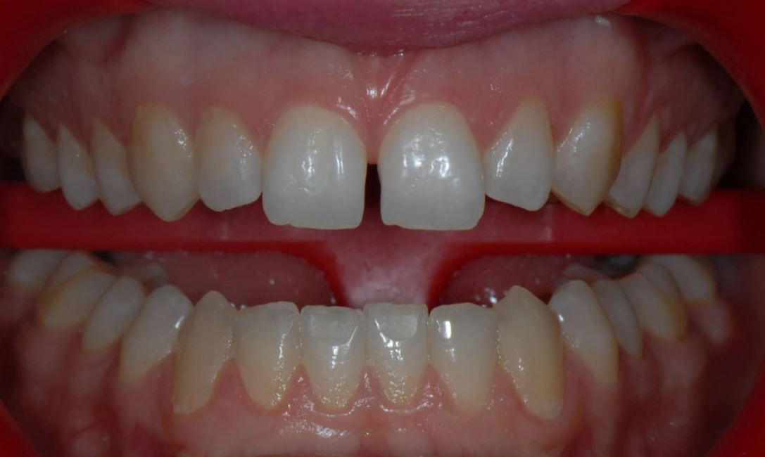
Efter

Före

Efter