Kosmetisk tandvård Lista
Tandsmycke
Förgyll ditt leende med ett tandsmycke i guld!
Vi säljer inte längre tandsmycken på praktiken men om patienten själv skaffar ett tandsmycke så kan vi sätta fast det åt patienten.
Smyckena klistras fast med ett osynligt tandcement. Det gör att de sitter stadigt men samtidigt är lätta att avlägsna om du så önskar.
![]() |
Blekning
Det finns två metoder för att bleka tänder: i hemmet eller hos tandläkaren.
Vi tillhandahåller den första metoden som innebär att vi tar avtryck på patientens tänder i ett gummimaterial för att kunna tillverkar gipsmodeller som vi sedan använder för att pressa blekskenorna. Det är viktigt att skenorna passar patientens tänder precis och vi kan även anpassa dem så att blekmedlet hamnar där det behövs.
Patienten får med sig en förpackning som innehåller blekskenorna, instruktioner, en färgskala (för att tydligare kunna se att blekningen har effekt) och åtta sprutor med blekmedel. Sedan får patienten utföra själva blekningen hemma tills hen är nöjd med resultatet.
Klicka här för mer information om blekning
![]() |
Skalfasader
Om du har skador på tänderna eller är missnöjd med hur de ser ut - då kan lösningen vara skalfasader.
Skalfasaderna fungerar ungefär som lösnaglar i porslin. De döljer sprickor eller fula fyllningar lika bra som stora mellanrum eller tänder som mörknat efter en skada. Och du behöver inte vara orolig för att tappa dem. När en fasad väl sitter fast, blir den en del av tanden.
Det första som görs är att vi diskuterar igenom hur du vill ha dina tänder och provar ut färg. Därefter slipas ett tunt lager av tanden bort och ett avtryck tas. Några dagar senare får du komma tillbaka till mottagningen. Då är dina skalfasader klara, och "klistras" fast med hjälp av ett så kallat bondingcement.
Innan fasaderna är på plats är de sköra, eftersom de är så tunna. Men när de väl är fixerade vid tanden, håller de lika bra som vilken hel tand som helst. Och eftersom baksidan är densamma som förut, känns de inte heller annorlunda.
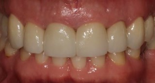
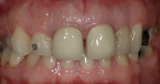
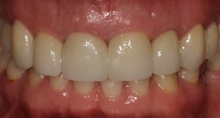
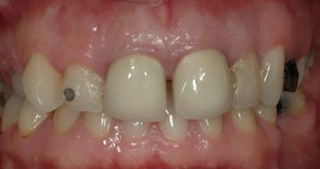
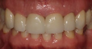
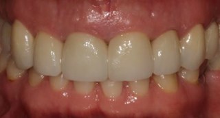
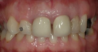
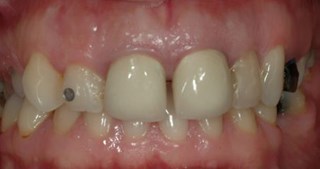
Alma's nya leende
|
|
"Jag heter Alma och är 38 år, och har sedan några år tillbaka haft problem med mina tänder.
Jag kom till Tandhälsan i Osby med mina problem och blev så väl bemött av alla.
Behandlingen la vi sedan upp på en viss tid och nu när min behandling är klar mår jag bättre än någonsin med mina tänder, och har fått tillbaka mitt leende, tack vare Tandhälsan i Osby."
Alma skämdes för hur hennes tänder såg ut. De var lappade med många olika material i olika färger. Hennes två framtänder hade fått kronor men diastemat, dvs mellanrummet, fanns fortfarande kvar. Nu har Alma fått kronor på de flesta tänderna i överkäken. Kronorna är gjorda helt och hållet i keram vilket ger en enhetlig färg med naturligt utseende.





