Kronor och broar
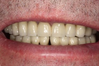
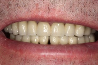
När en tand skadas omfattande pga. karies eller fraktur kan en krona återställa funktion och utseendet.
En krona kan göras i olika material i stommen t.ex. metall eller porslin. På denna stomme bygger man entand i porslin som ska efterlikna granntänderna. Enstaka tandluckor behandlas med broar där man använder granntänderna som stöd och den förlorade tanden blir som en hängande led. Hela konstruktionen sitter fast.
För att kunna göra denna behandling behöver vi ta ett avtryck av de berörda och närliggande tänderna. Vi har nära samarbete med mycket duktiga tandtekniker på Två Tekniker, Ceradent och Uffe ́s dental i Karlstad. Det är en stor fördel att samarbeta med ett laboratorium lokalt då man kan träffas och diskutera olika lösningar för bästa funktion och kvalité.
|
Före kronor och broar |
Efter kronor och broar |

