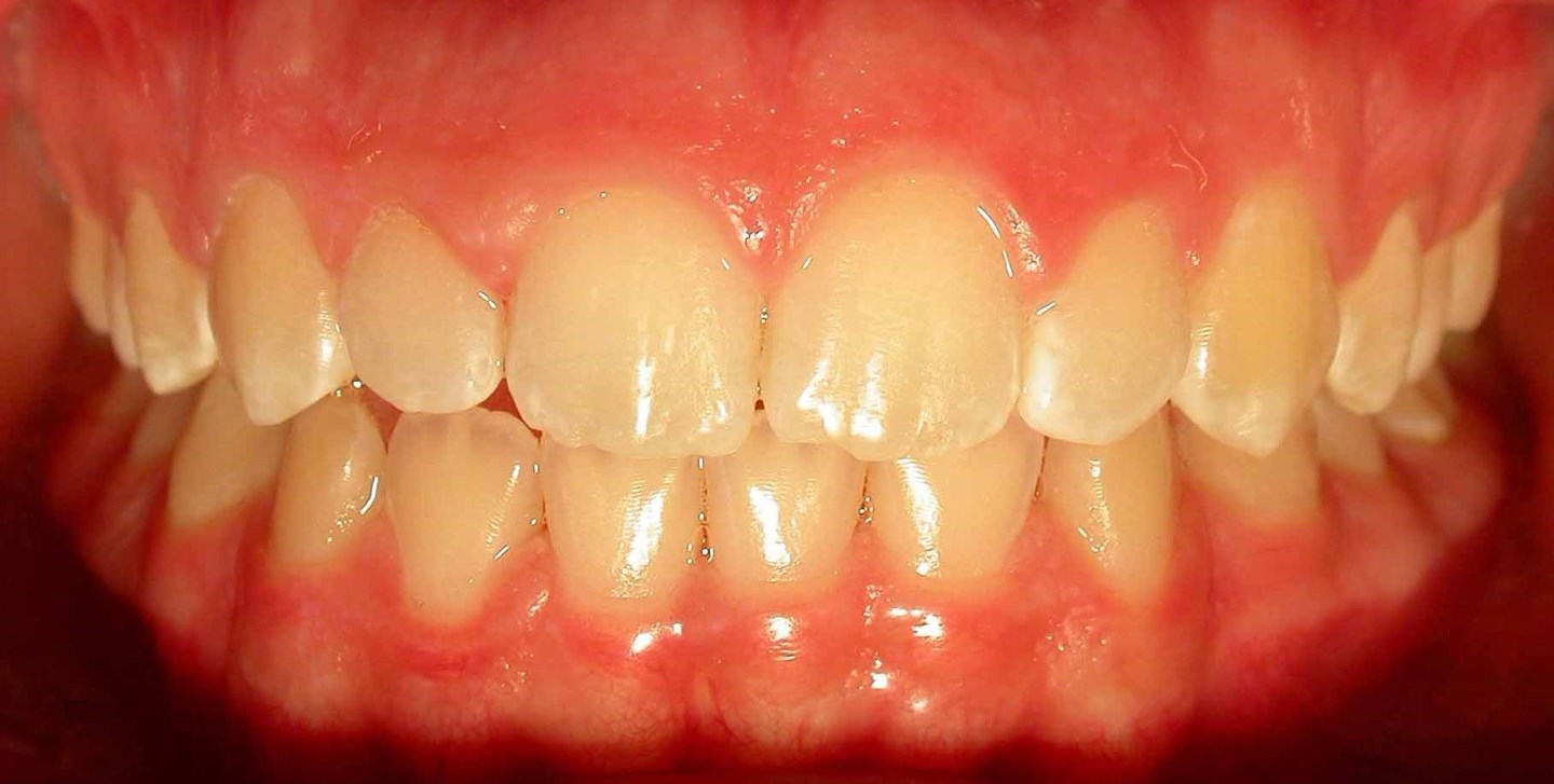
Estetisk tandvård

Då tänder är skadade eftersträvar vi att återskapa ursprunglig och naturlig färg form och funktion.

Detta kan åstadkommas med dagens högkvalitativa material och säkra metoder.

Vi använder tandfärgade compositplaster vid fyllningsterapi. Men är större delen av kronan skadad kan denna istället ersättas med en keramisk krona eller skalfasad.