Allmäntandvård

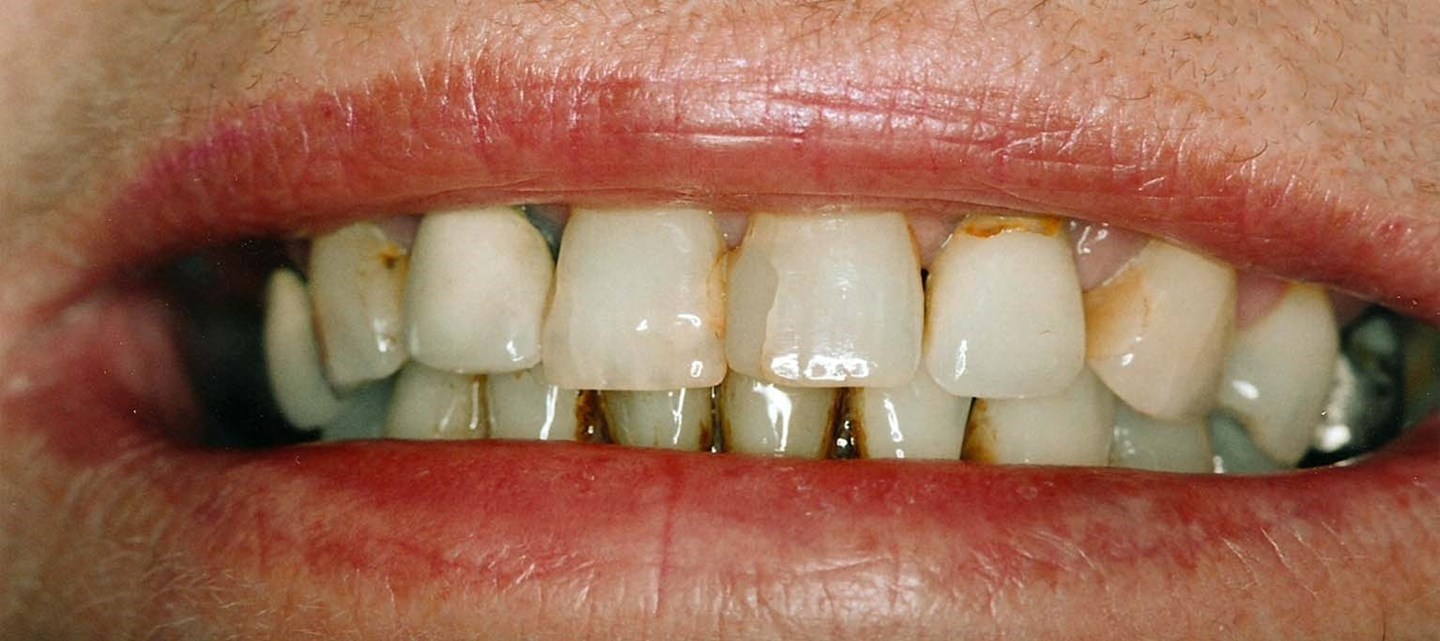
Utöver att laga och underhålla dina tänder, så har vi också möjligheten att förbättra och försköna.I fallet ovan, hade patienten missfärgade tänder med tråkiga lagningar i fronten. Ett flertal kronor var gamla och behövde bytas ut. Efter två besök, lämnade patienten oss - nöjd och glad - med ett nytt leende