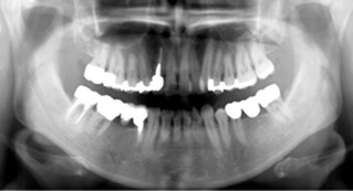
Helkäksröntgen (OPG)
I våra lokaler på Kungsgatan, finns det ett litet rum, "Silvia-rummet", som hyser vår digitala panoramaröntgen: OPG. Med denna röntgenapparat kan vi ta en bild av hela käken på en gång!

Du som patient står upp när bilden tas och du har ingen bildsensor inne i munnen, utan allt sker runt om käkens och huvudets utsida. Tidigare har vi varit tvungna att remittera våra patienter till en röngenspecialist för att få dessa bilder tagna. Panoramaröntgen behövs bl a inför implantatbehandlingar, vid käkskador, för bedömning av käkleder, men också vid förhandsprövningar till Försäkringskassan .
För att öka patientsäkerheten (att kunna hitta dolda tandinfektioner etc) kommer en sådan bild att tas på alla nya patienter vid första undersökningstillfället som en referensbild. Vi vill dessutom ta sådana bilder på samtliga patienter över 40 år som erhållit större fyllningar, genomgått rotbehandlingar - allt som ett led i att, på ett tidigt stadium, kunna upptäcka sjukdomsförändringar i både tänder, käkben och i angränsande vävnader.

Denna typ av röntgenundersökning ersätter inte de årliga s k "bitewings" vi tar för att kunna granska benhöjd och leta efter kariesangrepp med.
Vi tar gärna emot remisser för OPG från andra tandvårdsteam. Bilden är digital och överförs till CD som medium. Behandlande tandläkare ansvarar själv för de eventuella fynd som kan diagnostiseras med hjälp av bilden.