Kronor och broar
Med hjälp av kronor och broar är det möjligt att ersätta skadade eller förlorade tänder.
Kronor
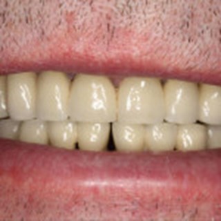
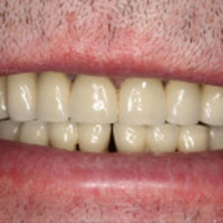
När en tand skadas omfattande på grund av karies eller fraktur kan en krona återställa funktion och utseendet. En krona kan göras i olika material i stommen till exempel metall eller porslin. På denna stomme bygger man en tand i porslin som ska efterlikna granntänderna.
Broar
Enstaka tandluckor behandlas med broar där man använder granntänderna som stöd och den förlorade tanden blir som en hängande led. Hela konstruktionen sitter fast. För att kunna göra denna behandling behöver vi ta ett avtryck av de berörda och närliggande tänderna.
Vi använder oss idag av digitalt avtryck som är den senaste utvecklingen inom området. Digitalt avtryck ger oss en mer exakt slutprodukt med bättre kvalité jämfört med det traditionella sättet. För dig som patient innebär det att du slipper avtrycksmassan i munnen och alla patienter som har provat tycker att det är mycket behagligare än den traditionella metoden.
Nära samarbeten
Vi har nära samarbete med mycket duktiga tandtekniker. Det är en stor fördel att samarbeta med ett laboratorium lokalt då man kan träffas och diskutera olika lösningar för bästa funktion och kvalité.
![]() |
![]() |
| Före: Kronor och broar | Efter: Kronor och broar |

