Lagning
Om du har hål i tanden kan den behöva lagas.
För inte så länge sedan lagade man även små hål, idag eftersträvar vi att läka ut karies. Men ibland måste man borra bort den angripna biten av tanden och ersätta den med lagningsmaterial.
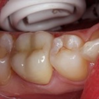
Det finns olika material som kan ersätta den förlorade tandsubstansen. Några av dem är: Composite, porslinsinlägg, krona. Dessa material har olika hållbarhet. Vilket material man ska välja beror på hur omfattande skadan är. Vi tar alltid upp om det finns olika behandlingsalternativ och upplyser patienten med för- och nackdelar.
![]() |
![]() |
| Frakturerad tand, stor composit fyllning kvar |
Tanden är försedd med porslinskrona |

