Tandblekning
Det finns olika tandblekningsmetoder. Undersökningar visar att tandblekning inte är skadligt om det utförs på rätt sätt.
När behövs tandblekning?
Ytliga missfärgningar, orsakade av till exempel mat och dryck, kan tandläkaren eller tandhygienisten ta bort med en putsning. Om missfärgningen däremot ligger djupare kan en tandblekning vara lösningen. Det blekmedel som används tar sig nämligen, via sprickorna i emaljen, in till dentinet som finns därunder och bleker det.
Kriterier måste uppfyllas
Nästan alla tänder går att bleka. Vi använder oss av hemmablekning. Det viktiga är att en tandläkare först undersöker och bestämmer vilken typ av material som ska användas och hur länge behandlingen ska ske.
För att kunna bleka tänderna måste följande kriterier vara uppfyllda:
- Om du har fyllningar måste de vara av god kvalitet
- Om du har hål (karies) måste det vara behandlat
- Ytliga beläggningar bör vara borta
- Ditt tandkött måste vara friskt och du får inte ha några sjukdomar i munnen
- Du bör ha fyllt 18 år
Tandblekning – Inte skadligt att bleka
För starka blekmedel vid tandblekning är inte bra. Därför arbetar tandläkare oftast med svagare, mer skonsamma medel som får verka under längre tid. Vetenskapliga undersökningar visar att man med hjälp av ett mikroskop kan se att emaljen på tandens yta påverkas. Det handlar dock om en väldigt liten påverkan – man kan jämföra det med att dricka en Coca Cola!
Hur går det till?
Vi tar ett avtryck på dina tänder och tandtekniker framställer gel skedar som passar exakt efter dina tänder. Vi instruerar dig hur du ska bleka dina tänder hemma. Normalt krävs det mellan 10-14 nätters behandling. Du får alltid komma tillbaka på kontroll för att vi ska se att behandlingen har gått bra och att du är nöjd med resultatet. Det medel vi använder är beprövat i Sverige och har används under många år och är skonsamt mot tänderna.
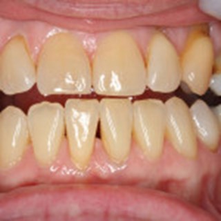
![]() |
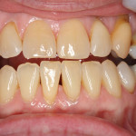
![]() |
| Före tandblekning | Efter tandblekning |
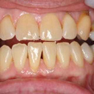
![]() |
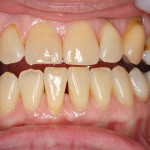
![]() |
| Före tandblekning | Efter tandblekning |



