Skalfasader
Missfärgningar, mellanrum, ojämnheter och fula fyllningar går att komma till rätta med. Idag kan tandvården erbjuda skalfasader.
Vad är skalfasader?
En skalfasad är ett tunt skal, antingen gjort i keramiskt material eller i komposit. Det framställs individuellt för varje patient och tand. Passformen blir därför perfekt. Skalfasaderna fungerar ungefär som lösnaglar i porslin. De döljer sprickor, fula fyllningar, stora mellanrum eller tänder som mörknat efter en skada. Och du behöver inte vara orolig för att tappa dem. När en fasad väl sitter fast fungerar den som en del av tanden.
Liknande uppbyggnad med skalfasader
Det är i huvudsak för framtänder som skalfasader görs. Det finns många olika orsaker till att en patient vill ha fasader. Till exempel som en ersättning för en avslagen bit av en tand, eller som en breddning för att fylla ut ett störande mellanrum. Skalet sitter hårt och lossnar normalt inte eftersom det limmas utanpå tanden. Och resultatet blir mycket naturligt, tack vare att fasaden liknar tandens egen uppbyggnad – nästan som ett nytt lager emalj!
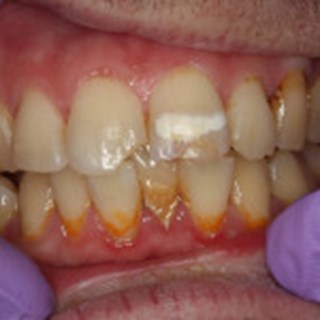
![]() |
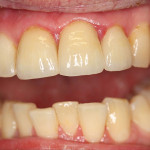
![]() |
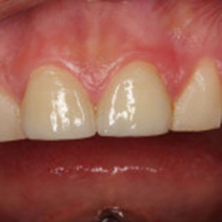
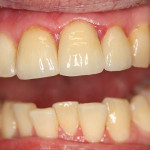
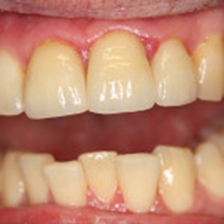
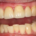
| Före: Tandskada på två framtänder samt medfödda fläckar |
Efter: Porslinfasad + krona |
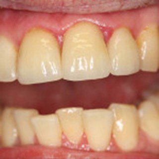
![]() |
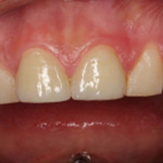
![]() |
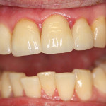
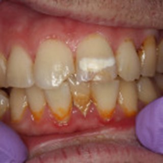
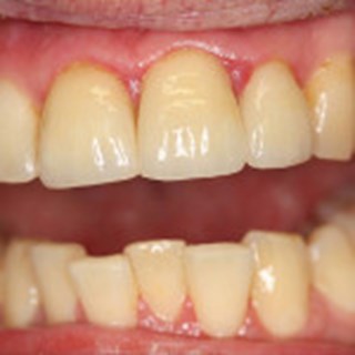
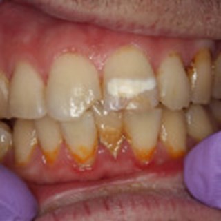
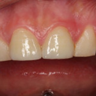
| Före: Tandskada på framtänder |
Efter: Porslinfasad på båda framtänderna |



