Tillgänglighetsmeny
Hoppa till innehållet på sidan
Kontakt & öppettider
Behandlingar
Behandlingar
Akut tandvård
Allmän tandvård
Barn och ungdom
Estetisk tandvård
Implantat
Kronor och broar
Lagning
Rotbehandling
Skalfasader
Tandblekning
Tandlossning
Tandreglering
Tandvårdsrädsla
Undersökning
Priser
Galleri
Om oss
Om Praktikertjänst
Huvudmeny
Kontakt & öppettider
Behandlingar
Behandlingar
Akut tandvård
Allmän tandvård
Barn och ungdom
Estetisk tandvård
Implantat
Kronor och broar
Lagning
Rotbehandling
Skalfasader
Tandblekning
Tandlossning
Tandreglering
Tandvårdsrädsla
Undersökning
Priser
Galleri
Om oss
Om Praktikertjänst
current pages parent
current page
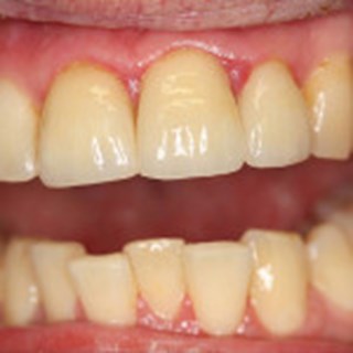
Före- efter bilder
Tandblekning
Tandblekning
Skalfasader
Skalfasader
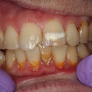
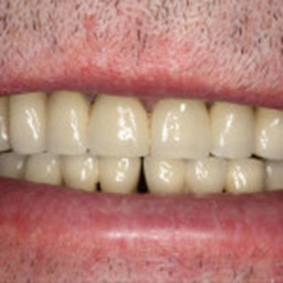
Kronor och broar
Kronor och broar
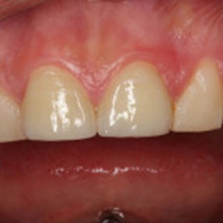
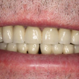
Tandlagning
Tandlagning
Snabblänkar
Tillgänglighet
Personuppgifter
Synpunkter på vården